泸州金药石口腔门诊部有限公司
联系人:张先生
电话:18982720387 18011659533
传真号码:0830-2503141
邮箱:213594945@qq.com
Q Q号码:213594945
联系地址:泸州市龙马潭区龙马大道三段4号楼1层1-4号、31-33号
网 址:www.lzjyskq.com
到了口腔科,
医生们最常挂在嘴边的话就是
泸州种植牙没什么大问题,牙龈炎,去洗个牙吧~
你这牙周炎很严重啊,快去洗个牙吧~
怀孕之前去洗个牙吧~
做假牙之前去洗个牙吧~
正畸之前去洗个牙吧~
种植之前去洗个牙吧~
以后一年来洗两次牙吧~
很多人都觉得······
你是不是想骗我钱哦,
有事没事都是洗个牙。
给大家说个笑话:
洗牙就像10元的停车费,再便宜都觉得贵。
突然有一张罚单贴在玻璃上,让交200元违章停车罚款的时候,真恨不得给自己一耳光,早知道给50元停车费我也愿意!
泸州烤瓷牙 当牙齿出现疾病,医生让你交几千上万,甚至几万十几万的时候才发现,花几百块钱护理一下牙齿好便宜!
洗牙不但可以改变你的生活,而且可以防止你美好的生活被改变。
泸州洗牙真的,
每年都洗牙的人从来不说看牙贵,
说看牙贵的都是从来没洗过牙的。
因为
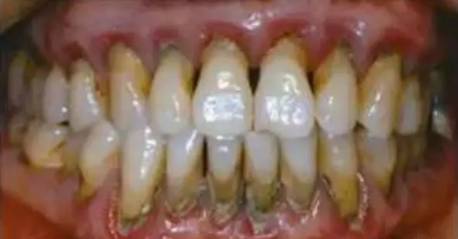
你抽烟、喝茶、不好好刷牙,
你的牙齿是这样的
▼
泸州牙齿矫正即使你认真刷牙看的见得地方是这样的
▼
看不见的地方是这样的
▼
还有这样
▼
放大看看(洁牙前)的牙齿
▼
泸州儿童牙科
放大看看(洁牙中)的牙齿
▼
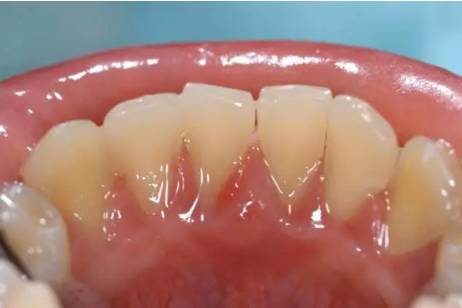
放大看看(洁牙后)的牙齿
▼
放大看看(洁牙恢复后)的牙齿
▼
你已经知道洗牙是必须的,
但是有些人还是会有疑问
那洗牙会不会把牙齿洗松了?
他们洗牙前就有严重的牙周炎,牙槽骨吸收严重,高度已经降低到牙根暴露的水平,洗牙洗去了在牙根上的牙结石,会觉得自己的牙齿反而变松了。为了方便大家理解,举个“栗子”,牙齿长在牙槽骨里像是大树种在土壤里,培养大树的土壤薄,而上面全是石头,大树虽然看起来很稳固,但失去土壤的的滋养也会枯死,我们搬走了石头,培上土短期内是松了,但是土一实就稳固了,除去了牙结石,但是迎来了牙槽骨的重新恢复。
那牙缝会不会被洗大了呢?
泸州全瓷牙 同理,去掉了“爬”在栅栏上的虫,牙齿就会长出来。只有去除了牙结石占据的缝隙,牙槽骨和牙龈才会长上来。
他们说洗完牙后牙齿会变的敏感?
一周后即可恢复,但是有的人会更快,因人而异。泸州牙科,金药石口腔全心为你服务
泸州金药石口腔原创
联系地址:泸州市龙马潭区龙马大道三段4号楼1层1-4号、31-33号
联系电话:0830-2503141
